中国工程院院士李兰娟指出:“疫苗成功研制至少还要三个月。”李兰娟随后解释说“三个月”仅是初期研发的时间,比如培养疫苗株、检测和验证等,新型肺炎疫苗真正走向市场还有很长的路。漫长的研究进程,极易扩散传播的病毒,这就对广大研究人员的生物安全防护提出了更高更严峻的要求,因为目前除了奋战在一线的医护人员被感染的案例见诸报端以外,已经有研究人员,甚至是检验技师被感染的报道出现。
青岛新增1例患者详情公布!曾接触确诊病例的血液样本,现已对16名密切接触者开展医学观察
-半岛都市报
病例44:48岁男性,现住市南区,为我市确诊病例32和病例35就诊医院的检验科技师,曾接触该院确诊病例的血液标本。2月5日出现发热等症状,2月6日前往李沧区某医院发热门诊就诊,经市疾控中心核酸检测和专家组评估,2月7日上午确诊。现已对16名密切接触者开展医学观察,目前无发热等异常情况。其他密切接触者正在进一步追踪和调查中。
-青岛市卫生健康委员会2020年2月7日
在入侵机制方面,据《中国科学报》日前报道,中科院的科学家已经发现新型冠状病毒入侵时的细胞受体跟SARS-CoV(SARS冠状病毒)受体一样,都是ACE2。 现在,初步还发现新病毒跟受体的结合力比SARS-CoV略强一些。破解病毒入侵宿主细胞的机制,对指导设计药物、抗体或疫苗进行防控至关重要。
卫生防疫专家强调,目前可以确定的新冠肺炎传播途径主要有:直接传播、接触传播和潜在的气溶胶传播风险。
直接传播是指患者喷嚏、咳嗽、说话的飞沫,呼出的气体直接沉积在易感染人员的鼻腔或口腔黏膜上,病原体进入人体从而导致感染;接触传播是指飞沫沉积在物品表面,接触污染手后,再接触口腔、鼻腔、眼睛等粘膜,导致感染;气溶胶传播是指飞沫混合在空气中,形成气溶胶,吸入后导致感染,此传播方式目前还未有直接证据证明,属于潜在风险。呼吸、咳嗽、说话、吐痰、呕吐、大小便(水冲洗)等,可产生气溶胶,造成潜在的风险。
研究人员,乃至整个研究实验室的安全防护显得尤为重要,只有对整个实验室的空间环境进行彻底而有效的灭菌除染才能够保证大家的安全。
“气化过氧化氢”消毒技术
气化过氧化氢是一种先进的高水平绿色消毒技术20世纪80年代推出,首先应用于制药行业无菌隔离器的灭菌处理。21世纪初,美国将该项技术列入五角大楼国防部高级研究计划局计划,并应用于911事件后的炭疽粉末污染的消毒处理。
作为一种高效的终末消毒方式,气化过氧化氢对各类空气传播的病原微生物均具有良好的杀灭效果,在SARS、MERS病毒、H7N9和埃博拉病毒等传染病疫情的防控中,均发挥过十分重要的作用。
近年来,更广泛用于高等级生物安全实验室的灭菌处理,突发传染病现场密闭空间的消毒处理,医院超级耐药菌污染的消除,甚至密闭飞机机舱的消毒处理。
实验证明,当气化过氧化氢达到一定浓度以上时,具有良好的杀灭微生物的性能,能够杀灭各种已知的病原微生物,达到灭菌水平。杀灭90%微生物的时间(D值),由几秒钟到几分钟不等,不同的微生物存在较大差异。D值由小到大,依次为脂质包膜病毒、细菌繁殖体、无包膜病毒、真菌、结核杆菌、细菌芽孢。
德国PEA气化过氧化氢灭菌器
第三代干法闪蒸技术
德国PEA公司的气化过氧化氢发生器采用最先进的第三代干法闪蒸技术,能够使过氧化氢完全气化,产生均匀的粒径在亚微米级别的过氧化氢气体,在空间内通过布朗运动不断与病原微生物接触,从而有效杀灭密闭空间内的各种病原微生物,为广大科研人员提供一个安全的环境。
不同于“湿法”工艺的过饱和凝结,真正的“干法”闪蒸更加安全,可以兼容多种材料,不会对救护车、净化舱、ICU病房以及科研实验室内的多种精密电子仪器设备以及医疗防护用品造成不良影响。
同时更是因为气化完全,其消毒灭菌体积得到了极大的提升,单次灭菌体积即可达到1000m³。艾力特生命科学在过去已为国内多个疾控中心和BSL3(P3)实验室提供了高等级的双扉蒸汽脉动真空灭菌器和VHP空间灭菌器,积累了丰富的经验;我们还可以为奋战在一线的医护人员和病患提供病房空间灭菌服务,杜绝交叉污染的发生,如有需求,我司将无偿提供服务,为早日结束疫情贡献我们的一份力量。
气化过氧化氢技术已经应用了20年之久,全球制药行业85%以上无菌隔离器使用此项技术作为生物去污染的选择。迄今,气化过氧化氢已经被广泛应用于隔离器、空气过滤器、无菌灌装线、高等级生物安全实验室、传染病病房、隔离担架、救护车等不同领域消毒处理。
关于新型冠状病毒肺炎
2月8日国务院联防联控机制发布会上,卫健委发布关于新冠病毒感染的肺炎暂命名的通知,统一称谓为“新型冠状病毒肺炎”(Novelcoronavirus pneumonia),简称“新冠肺炎”,英文简称为“NCP”。
冠状病毒是一大类病毒,已知会引起疾病,患者表现为从普通感冒到重症肺部感染等不同临床症状,例如中东呼吸综合征(MERS)和严重急性呼吸综合征(SARS)。
此次武汉发现的新型冠状病毒2019-nCov是一种以前尚未在人类中发现的新型病毒。2019-nCov呈球状,直径约为100~160nm。病毒颗粒由蛋白质和核酸组成:最外面的刺突蛋白(Spike,S)对维持病毒颗粒形态非常重要;再往里是E和M蛋白,这些是撑起病毒颗粒形状的重要蛋白;最里面是其遗传物质RNA,被N蛋白包裹并保护着。
冠状病毒是现在已知的拥有最大基因组的RNA病毒,相对于人类用DNA作为遗传物质,其RNA基因组复制时的保真性相对较差,容易产生更多的变异。 中国医学科学院呼吸病学研究院常务副院长曹彬日前表示,目前从人体、环境中监测分离的病毒上看没有发现明显变异。 但是,流行期越长其变异的可能性越大。
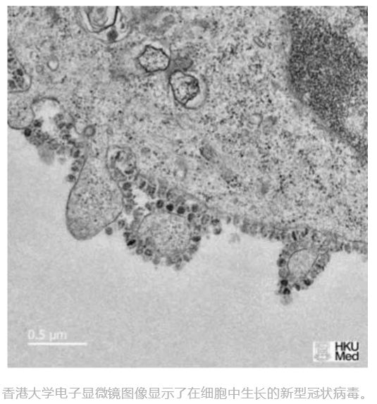
据媒体报道,香港大学研究人员于1月31日公布首批新型冠状病毒在细胞内复制过程的图像。研究人员表示,每个受病毒感染的细胞会衍生出逾千粒病毒粒子,从而继续感染新细胞。
新型冠状病毒武汉株01
照片来源:国家病原微生物资源库 (中国疾病预防控制中心病毒病预防控制所)
新型冠状病毒武汉株02
照片来源:国家病原微生物资源库(中国疾病预防控制中心病毒病预防控制所)

